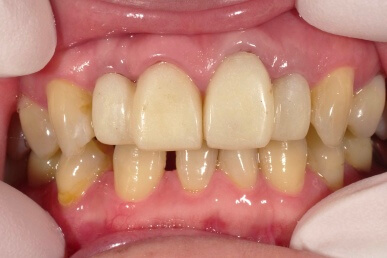
こんにちは歯科医師の安藤です。 私がくろさわ歯科医院に勤めて7年が経ちます。 今回は治療が完了するまでに使う仮歯について説明したいと思います! 実はよくいう仮歯にはtemporaryとprovisionalの2つの種類があります。 ●temporaryとは一時的なという暫間的な意味合いがあり ●provisionalには「pro=前もって」と「vision=視覚的」という意味合いがあります。 仮歯といえどもできるかぎりprovisionalになるように私たちは提供できるようにしています。 実際にどのような役割があるかというと ①歯髄、歯質の保護(しみないようにする) ②虫歯のコントロール(一時的に被せておくことにより虫歯の菌が歯に付着するのを防ぐ) ③歯の移動の防止(歯はないところを埋めるように倒れてきたり挺出してきたりするのでスペースを確保しておきます) ④咀嚼機能の回復(削ったところで噛めるようにする) ⑤審美機能の回復(最終的な被せ物ができるまでみためを維持します) これらがいわゆるtemporaryの役割です。 虫歯などにより歯を削って歯型をとり、最終的な被せ物が出来上がるまでの一時的なものとなります。
①咬合の安定(噛み合わせが安定しているかをみます)
②理想的な最終形態の確立(被せ物になる場合歯の形をある程度自由に設計できます。患者様と相談しながら理想的な形を探していきます)
③支台歯いわゆる土台の削除量の視覚化(被せ物の種類によって理想的な削る量がかわります。例えば金属であれば薄くても作れるので歯質を極力削らないようにでき、セラミック系だとある程度の厚みがないと割れてしまうため仮歯の時点で削除量をみていきます)


このように、より理想的な被せ物を作るためにも仮歯は役割があります。
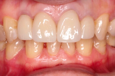
これだけでもtemporaryとprovisionalとしての仮歯には様々な役割がありますがこれらは『歯』に関してののことであり、実はさらに仮歯には重要な役割があります。
それは『歯肉(歯茎)の状態を整える』ことです。
歯肉に炎症がある、いわゆる歯肉炎という状態では歯型をとるときに出血が起こります。型取りの材料は血液が混じると歯の模型を作るときに綺麗な模型がつくれなくなります(削った最終位置が不鮮明になってしまいます)。それにより被せ物を作ろうとすると適合がわるいものが出来上がってしまうことがあります。
また、歯肉炎の状態で型取りをおこなうと歯茎が腫れている状態での模型ができてしまうので炎症がなくなり、歯茎が引き締まると被せ物の境目がみえるようになってしまい、審美的にも影響がでます。
さらにブリッジという歯を失ってしまい両隣りの歯を被せ物にすることで欠損部位を補う被せ物を作る際も仮歯をいれることにより、歯を失った欠損部位の歯茎をつくることで被せ物が綺麗に入るようにもなります。
その他にも仮歯にすることで細かいチェックが視覚的にできるようになり、より精密な歯科治療を行う助けとなります。
一時的であり、最終的な被せ物ができたら不要になってしまうものではありますが、このように仮歯には様々な役割、意味があります。
治療を行う際に仮歯が必要な際は是非使ってみてください。
午前診療時間:9:30〜13:00
(最終受付12:30)
午後診療時間:14:30〜19:00
(最終受付18:30)
休診日:日曜・祝日
宜しくお願い致します。
八王子駅徒歩1分
高い技術力での・充実のサービス・安心の保証
総合歯科診療のくろさわ歯科医院
総合的なお口の悩み事、些細なご相談でもお待ちしております。
歯科医師 安藤
temporary crown/テンポラリークラウン/tec

