Not enough bones
骨が足りなくてもインプラントは可能?
当院では、以下のような患者様も多くいらっしゃいます。
難症例のため、治療が困難と言われた方
インプラントを入れたが、痛みが残っている方
インプラントが抜けてしまった方
これは、インプラントを埋入する箇所の骨が足りていないことが原因である場合が多くあります。
当院では、骨移植や骨造成といった特殊な術式を用いることでインプラントが可能になる場合があります。
これらは非常に難易度の高い治療です。
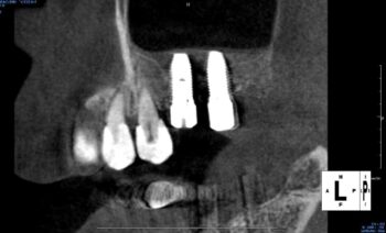
Implant
当院で行う骨が足りない方へのインプラント
インプラントの傾斜埋入
従来のインプラントはアゴの骨に対して垂直に埋め込まれることが当たり前でしたが、傾斜埋入は、斜めに埋め込んだインプラントで義歯を支えることを可能とする治療法です。
埋め込む位置や角度の計算が複雑になるため、高い診断力と技術力が求められる治療法といえます。
事前に歯科用CTで骨の状態を把握し、徹底的なシミュレーション、埋入する技術がないと行えない高度なインプラント技術です。
※なお、アゴの骨が全体的に薄くなっている場合には適用できません。
Treatment
当院で行う骨が足りない方への骨移植・骨造成
サイナスリフト(上顎洞挙上術)
サイナスリフトとは
サイナスリフトは、上顎の奥歯にインプラントを埋め込むにあたり、土台となる骨の量を増やす治療法の一つです。
サイナス(上顎洞)とは上顎内部の空洞のことです。上の奥歯を失ってしまうと、このサイナスと呼ばれる空洞が拡大し、結果的に上顎の骨が薄くなってしまいます。こうなると、インプラントを埋め込むのに十分な骨の厚さを確保することができません。
サイナスリフトは、このように骨が薄くなってしまった場合に、外科手術によって歯肉を切開し、空洞の拡大した部分に移植骨を入れて埋めていく骨造成法です。手術から3~6ヶ月ほどで、移植した骨が完全に自分の骨となり、インプラントを埋め込むことが可能になります。
サイナスリフトが適用されるケース
歯を支える骨を歯槽骨(しそうこつ)といいます。
歯周病が進行したり、抜歯を行って空洞ができたりすると、歯槽骨の吸収という現象が起こり、歯を支える部分の骨が薄くなってしまいます。
インプラントを埋め込むには、理想的には10mm以上、最低でも5mm以上の骨の厚みが必要とされています。
これを下回る薄さになってしまった場合、従来はインプラント治療を諦めるしかありませんでした。
現在では、様々な骨造成治療が開発されてきたため、歯槽骨が薄くなった患者さんにもインプラント治療を適用することができるようになりました。
中でもサイナスリフトは、骨の厚みが3~5mm以下と特に薄いケースや、多数の歯を失ってしまっているケースで適用される骨造成法です。
外科手術による骨への侵襲(手術が与える影響)は大きいですが、かなり骨が減ってしまっている状態からでも再生できるのが魅力といえます。
なお、歯槽骨の欠損がそこまで進行していない場合は、ソケットリフトやその他の骨造成術が検討されます。



サイナスリフトの治療手順
サイナスリフトは、上顎内部の空洞(上顎洞)に骨を造成することを目的とした治療です。
ソケットリフトが歯の生えていた部分からアプローチするのに対し、サイナスリフトは歯の生えていた部分の側面の歯茎からアプローチします。
手術ではまず、上顎の歯肉の側面を切開し、歯槽骨を露出させて、骨の表面に小さな窓を作ります。
窓を開くと「シュナイダー膜」と呼ばれる粘膜が露出するので、これを慎重に剥がしていき、空いたスペースに人工骨や他の部位から採取した自家骨などの移植材を埋めていきます。
十分な量の骨を埋めたら、歯肉を縫合し、そこから数ヶ月の安静期間を置くことになります。
なお、手術後の痛みはほぼなく、腫れはあっても3~4日で引く程度です。
安静期間を経て、埋め込んだ移植材が完全に自分の骨として定着すれば、あとは通常のインプラント手術と同様の手順でインプラントを埋め込むことができます。
サイナスリフトのメリットとデメリット
サイナスリフトのメリット
サイナスリフトは、同じく骨造成術であるソケットリフトと比べて、より広範囲にわたって骨を造成できるという利点があります。
骨の厚みが3mm以下などかなり薄くなっている場合や、多数の歯を欠損してしまっている場合に有効な治療法です。
また、外科的に歯肉を切開して施術するため、術野がはっきりと見やすく、粘膜の損傷などのリスクを低く抑えられるという利点もあります。
サイナスリフトのデメリット
一方、外科手術の範囲がソケットリフトと比べて広いため、そのぶん患者さんの負担が大きくなることはデメリットといえるでしょう。
また、骨の造成に3~6ヶ月と長期の期間がかかることも欠点といえます。
なお、これはインプラントの埋め込みが可能になるまでの期間であり、その後、埋め込んだインプラントが骨と癒着するまでにはさらに数ヶ月の期間がかかりますので、トータルの治療期間は1年近くになります。
ソケットリフト
ソケットリフトとは
ソケットリフトは、上顎の奥歯にインプラントを埋め込むにあたり、土台となる骨の量を増やす治療法の一つです。
オステオトームという器具を使用するため「オステオトーム・テクニック」とも呼ばれています。
上の奥歯が生えている底には、上顎洞と呼ばれる空洞があります。
歯周病が進行して抜歯になった場合などは、この上顎洞が拡大し、底が下がってきてしまい、歯が生えていた位置のアゴの骨の厚みが失われてしまう現象が起こります。
この場合、そのままでは十分な骨の厚さが確保できないので、インプラントを埋め込むことができません。
ソケットリフトは、このように上顎洞の底が下がってしまった場合に、外科手術によって底を押し上げ、上から移植骨を入れて埋めていく骨造成法です。
骨の造成と同時にインプラントを埋め込むことも可能になるので、同じ骨造成術であるサイナスリフトよりも短期間でインプラント治療を終えることができるのが特長です。
ソケットリフトが適用されるケース
歯を支える骨を歯槽骨(しそうこつ)といいます。
歯周病が進行したり、抜歯を行って空洞ができたりすると、歯槽骨の吸収という現象が起こり、歯を支える部分の骨が薄くなってしまいます。
インプラントを埋め込むには、理想的には10mm以上、最低でも5mm以上の骨の厚みが必要とされています。
これを下回る薄さになってしまった場合、従来はインプラント治療を諦めるしかありませんでした。
現在では、様々な骨造成治療が開発されてきたため、歯槽骨が薄くなった患者さんにもインプラント治療を適用することができるようになりました。
中でもソケットリフトは、歯槽骨の吸収がそれほど進んでおらず、3~5mm程度の厚みが残っている場合に適用される骨造成法です。
適用できる患者さんは限られていますが、外科手術による骨への侵襲(手術が与える影響)が小さく、また短期間でインプラント治療が完了するという利点があります。
なお、歯槽骨の欠損が著しい場合はソケットリフトは適用できないため、サイナスリフトやその他の骨造成術が検討されます。
ソケットリフトの治療手順
ソケットリフトは、下がってしまった上顎洞の底を再び押し上げ、そこに骨を造成することを目的とした治療です。
サイナスリフトが側面の歯茎からアプローチするのに対し、ソケットリフトは歯の生えていた部分から垂直な向きにアプローチします。
抜歯直後に行う場合、その穴から直接アプローチすることもあります。
手術ではまず、ドリルで慎重に歯槽骨を掘り進み、上顎洞の底の1mmほど手前でドリルを止めます。
そして、「オステオトーム」という棒のような専用器具を用いて、小さなハンマーで叩くようにして骨を押し上げていきます。
これにより、下がっていた上顎洞の底面と粘膜が持ち上がっていきます。
底面が持ち上がったところで、人工骨などの移植材を埋め、インプラントの埋め込みに必要な骨の厚さを確保します。
ソケットリフトの場合、手術と同時にインプラント体を埋め込むのが一般的です。
この場合も、インプラントが骨と癒着するまでには、通常と同じく数ヶ月の期間がかかります。
ソケットリフトのメリットとデメリット
ソケットリフトのメリット
ソケットリフトは、同じく骨造成術であるサイナスリフトと比べて、外科手術が小規模で済むため、患者さんへの負担が少ないという利点があります。
また、骨の移植と同時にインプラントを埋め込むことになるので、治療期間はサイナスリフトと比べて大幅に短縮することができます。
ソケットリフトのデメリット
一方、ソケットリフトは適用できるのが狭い範囲に限られ、多数の歯が欠損しているような場合には用いることができません。
また、切開を伴わない暗視下での手術になるため、歯科医師の技量によっては、粘膜を損傷してしまうなどのリスクも存在します。
Link
関連リンク
Supervisor
監修者情報

くろさわ歯科医院 院長
黒澤 治伸Harunobu Kurosawa
資格
・Nobel Biocare World conference in ラスベガス 出席
・SJCD basic 年間コース 修了
・Dental Aesthetic Seminar 修了
・米国式根管治療マイクロスコープハンズオンコース 修了
・YIC主催 日本顕微鏡歯科学会副会長三橋純先生によるマイクロスコープセミナー 修了
・マキシスインプラントインスティテュート 出席
・ICOI国際インプラント学会Fellowship 出席
・THE IMPLANT ACADEMY 2012 出席
・ICOI国際インプラント学会 出席
・THE IMPLANT ACADEMY 2013 出席
・ICOI国際インプラント学会 第16回アジア太平洋シンポジウムin台北 出席
・ICOI Japan Symposium出席
・NOBEL BIOCARE SYMPOSIUM 2014 出席
・厚生労働省認定 歯科医師臨床研修指導医 取得
・ICOI Japan Symposium出席症例発表
・ICOI 国際インプラント学会シンガポール大会 出席
・マロクリニック東京 All-on-4コース 修了
・ニューヨーク大学 NYU International Endodontic weekプログラム 第1期生
COLUMN
関連コラム
インビザライン(マウスピース矯正)
親知らずが痛い時の対処法
銀歯の見た目が嫌な場合の対処法
出っ歯(上顎前突)の原因って?
インプラントの費用の相場と歯科医院選びの3つのポイ...
インプラント手術をする時の3つリスク
インプラント治療の不安を軽減できる静脈内鎮静法
芸能人が口元をキレイにする方法とインプラントを選ぶ...
MENU
診療メニューから探す
虫歯治療
なるべく「痛みを感じない」治療を心がけています。削った歯を修復する詰め物・被せ物も保険適応のものから自費のものまで幅広くご用意しています。
歯周病治療
「歯ぐきが下がる」そんな症状は歯周病がかなり進行している状態かもしれません。歯周病の治療はもちろんのこと、再発させないための治療に力を入れています。
予防歯科
歯医者には痛みを感じてからではなく「未病を防ぐ」ための治療で通院することが理想です。歯のトラブル予防に定期的な歯科検診をオススメしております。
インプラント
虫歯などで歯を失った時に選択される治療の1つで、天然の歯とほとんど変わらないほどの噛み心地を得られます。見た目の美しさにも優れている治療方法です。
オールオン4
たった4本のインプラントだけで上顎もしくは下顎すべての歯を修復することが可能な先進的な治療法です。実施できる歯科医院は少なく、高い技術力を必要とする治療です。
セカンドオピニオン
現在受けている治療や、他院での診断結果に不安や疑問がある方は、ぜひお気軽にご相談ください。患者さまがご納得して治療に進められるよう、サポートいたします。
矯正歯科(歯列矯正)
マウスピース矯正やワイヤー矯正など、いくつかの選択肢の中で患者さまに最適な治療法をご提案いたします。矯正に関する無料相談だけでもOKです。
マウスピース矯正
矯正装置が目立たず、ワイヤー矯正に比べて痛みの少ない矯正治療です。マウスピースは取り外しが可能で、食事や歯磨きがいつも通りに行えます。
ワイヤー矯正
歯の移動が難しい歯並びにワイヤー矯正はよく選択されます。矯正装置は外せませんが、その分狙った箇所に歯を動かしやすいことが特徴的な一般的な矯正法です。
精密根管治療
歯の根っこ部分を治療する際に、マイクロスコープを使用した精度の高い治療です。肉眼では見えない細部まで治療を行い、原因を徹底的に除去していきます。
審美歯科
歯の白さや形を整え、見た目の美しさを高める治療です。当院では、被せ物はもちろん、ホワイトニングやラミネートべニアなど、お悩みに合わせた豊富な治療をご用意しています。
ホワイトニング
少ない治療回数で歯の白さを実感できるオフィスホワイトニングをご用意しています。その他、ご自宅で好きな時に行えるホームホワイトニングのご案内も可能です。
ダイレクトボンディング
欠けた歯やすきっ歯を1日で改善できる治療です。天然の歯の色にとても近い色で修復が可能で、治療した箇所が分からないほど自然な仕上がりになります。
親知らずの抜歯
親知らずには抜いた方が良い親知らずと、抜かなくても良い親知らずが存在します。的確な検査と診断な元、必要に応じた抜歯や歯の保存をご提案いたします。
入れ歯
入れ歯は保険のものと、自費診療のものとで使い心地が大きくことなります。当院では、さまざまな要望に応えられるよういろんな素材で入れ歯を用意しています。
Clinic
くろさわ歯科医院について
01
八王子駅から徒歩1分
当院は、JR八王子駅から徒歩1分、京王八王子駅から徒歩5分という好立地にあり、お仕事帰りやお買い物のついでにも立ち寄りやすいアクセスの良さが特徴です。
雨の日やお子さま連れの方でも通いやすく、幅広い年代の患者さまにご利用いただいております。
また、土曜も診療を行っているため、平日が忙しい方にも無理なく通っていただけます。
02
年間患者数100万人
昨年、大変ありがたいことに年間でご来院いただいた患者さまは累計100万人にのぼりました。
八王子エリアの皆さまを中心に、信頼してお選びいただけたことを、スタッフ一同心より感謝しております。
これからも患者さまとの「対話」を大切にしながら、不安や悩みにしっかり向き合い、安心して受けられる歯科医療、そして「ここに通ってよかった」と思っていただける医院を目指してまいります。
03
60%がご紹介でのご来院
くろさわ歯科医院にお越しいただく患者さまの約60%は、当院へすでに通われている患者さまからのご紹介でご来院されています。
当院で受けられた治療やホスピタリティに満足していただいているからこその結果だと感じています。
他院での治療に納得がいっていない方などは、ぜひ一度当院へご相談ください。
お悩みを丁寧に伺い、納得いただける治療をご提案いたします。
04
各分野のスペシャリストな歯科医師
くろさわ歯科医院には、6名のドクターが在籍しています。
それぞれが専門分野を持つスペシャリストであり、虫歯・インプラント・歯列矯正など幅広いお悩みに対応可能な体制を整えています。
また、難症例への対応経験も豊富なため、他院で治療を断られてしまった方でも、当院でなら対応できるケースも少なくありません。
一人で悩まず、まずはお気軽にご相談ください。
05
全7部屋を完全個室でご用意
当院では、すべての診療室を完全個室でご用意しております。
周囲の目や音を気にせず、リラックスした状態で治療を受けていただける環境づくりにこだわりました。
プライバシーを確保することで、口腔内のお悩みやご不安も相談しやすく、カウンセリングや治療説明もより丁寧に行うことが可能です。
お子さま連れの方や、治療に対して不安のある方にも、安心して通っていただけるよう配慮しております。
| 月 | 火 | 水 | 木 | 金 | 土 | 日/祝 | |
|---|---|---|---|---|---|---|---|
| 09:30〜13:00 | ● | ● | ● | ● | ● | ● | - |
| 14:30〜19:00 | ● | ● | ● | ● | ● | ● | - |
-
〒192-0083
東京都八王子市旭町1-4 八王子交通ビル3F
-
JR八王子駅 徒歩1分
京王線京王八王子駅 徒歩5分
-
近隣の駐車場をご利用ください。